Direkt zum Inhalt
BELIEBT: Kollagen Pulver
BELIEBT: Magnesium Sieben Kapseln
BELIEBT: Omega 3 Plus Kapseln
NEU: Berberin Kapseln
BELIEBT: Zahnkristalle Xylit
  • Nahrungsergänzungsmittel
    • Alle Nahrungsergänzungsmittel
    • Vitamine
      • Alle Vitamine
      • Vitamin A
      • Vitamin B
      • Vitamin C
      • Vitamin D
      • Vitamin K
    • Mineralstoffe & Spurenelemente
      • Alle Mineralstoffe & Spurenelemente
      • Magnesium
      • Silizium
      • Zink
      • Selen
      • Eisen
      • Jod
      • MSM
      • Zeolith
    • Liposomale & mizellare Produkte
    • Aminosäuren & Peptide
    • Kollagen
    • Darmbakterien
    • Enzyme & Coenzyme
    • Omega-3-Fettsäuren
    • Vitalpilze
    • Antioxidantien
      • Alle Antioxidantien
      • Traubenkernextrakte
      • Quercetin
      • Liponsäure
      • Astaxanthin
      • Curcumin
      • Resveratrol
      • Glutathion
    • Sekundäre Pflanzenstoffe & Pflanzenextrakte
    • Präbiotika
    • Kombipräparate, Indikationspräparate & Multivitamine
      • Alle Kombipräparate, Indikationspräparate & Multivitamine
      • Kombipräparate & Indikationspräparate
      • Multivitamine
    • Kolloidale Produkte
    • Tinkturen & Elixiere
    • Bitterstoffe & Bitterkräuter
    • Melatonin
    • Vitalboxen (Kombipakete)
    • Bücher
  • Superfood
    • Alle Superfoods
    • Tees & Teezubehör
      • Alle Tees & Teezubehör
      • Tees
      • Teezubehör
    • Bio-Kräuter & Wildkräuter
      • Alle Bio-Kräuter & Wildkräuter
      • Kräutermischungen
      • Zistrose
    • Saftpulver
      • Alle Saftpulver
      • Grüne Saftpulver
      • Gemüsesaft Pulver
    • Knochen-, Fleisch- & Gemüsebrühen
    • Frucht- & Beerenpulver
    • Proteinpulver
      • Alle Proteinpulver
      • Vegane Protein Pulver
      • Whey Protein Pulver
    • Pflanzendrinks (Milch-Alternativen)
    • Grüne Pulver & Pflanzenstoffe
    • Algen
    • Öle & Bratfette
      • Alle Öle & Bratfette
      • Öle
      • Bratfette
    • Kakao & Kakaoprodukte
    • Ballaststoffe
    • Zuckerersatz
    • Salz & Gewürze
    • Gekeimte Samen & Saaten
    • Porridge
    • Brotbackmischungen & Mehle
      • Alle Brotbackmischungen & Mehle
      • Brotbackmischungen
      • Mehle
    • Pasta
  • Naturkosmetik
    • Alle Naturkosmetik-Produkte
    • Mund- & Zahnpflege
      • Alle Mund- & Zahnpflege
      • Zahnkristalle
      • Zahnpulver
      • Zahnbürsten
      • Mundziehöle
    • CBD-Öle (Cannabidiole)
    • Deos
    • Seifen
    • Cremes
  • Anwendungen
    • Abnehmen & Gewichtskontrolle
    • Allergien
    • Anti-Aging
    • Atemwege
    • Augen
    • Bewegung & Sport
    • Bindegewebe
    • Blase & Niere
    • Chronische Entzündungen
    • Darm & Verdauung
    • Entschlackung & Entsäuerung
    • Frauen
    • Gehirn & kognitive Leistungsfähigkeit
    • Haut, Haare & Nägel
    • Herz & Gefäße
    • Immunsystem & Abwehrkräfte
    • Kinder
    • Kinderwunsch
    • Knochen, Gelenke & Sehnen
    • Leber & Galle
    • Männer
    • Mund-, Zahnpflege & Zahngesundheit
    • Schilddrüse
    • Schlaf & Entspannung
    • Schwangerschaft & Stillzeit
    • Senioren
    • Stoffwechsel
    • Stress, Nerven & Psyche
    • Unverträglichkeiten
    • Vegetarier & Veganer
    • Vitalität & Energie
    • Wellness & Wohlbefinden
    • Alle Lebenskraftpur Produkte
  • Ratgeber
    • Alle Artikel
    • Ernährung
    • Gesunde Rezepte
    • Hausmittel
    • Krankheiten
    • Lebenskraftpur klärt auf
    • Mikronährstoffe
    • Naturkosmetik
    • Pflanzenstoffe
    • Sport
    • Zahnpflege
    • Lexikon
  • Produktratgeber
  • Alle Kategorien
  • Ernährung
  • Gesunde Rezepte
  • Hausmittel
  • Krankheiten
  • Lebenskraftpur klärt auf
  • Mikronährstoffe
  • Naturkosmetik
  • Pflanzenstoffe
  • Sport
  • Zahnpflege
  • Lexikon
  • Produktratgeber
Kategorien
  • Alle Kategorien
  • Ernährung
  • Gesunde Rezepte
  • Hausmittel
  • Krankheiten
  • Lebenskraftpur klärt auf
  • Mikronährstoffe
  • Naturkosmetik
  • Pflanzenstoffe
  • Sport
  • Zahnpflege
  • Lexikon
  • Produktratgeber
Lebenskraftpur
  • Nahrungsergänzungsmittel
    • Alle Nahrungsergänzungsmittel
    • Vitamine
    • Mineralstoffe & Spurenelemente
    • Aminosäuren & Peptide
    • Kollagen
    • Antioxidantien
    • Bitterstoffe & Bitterkräuter
    • Darmbakterien
    • Enzyme & Coenzyme
    • Kolloidale Produkte
    • Kombipräparate, Indikationspräparate & Multivitamine
    • Liposomale & mizellare Produkte
    • Melatonin
    • Omega-3-Fettsäuren
    • Präbiotika
    • Sekundäre Pflanzenstoffe & Pflanzenextrakte
    • Tinkturen & Elixiere
    • Vitalpilze
    • Vitalboxen (Kombipakete)
    • Bücher
  • Superfood
    • Alle Superfoods
    • Tees & Teezubehör
    • Bio-Kräuter & Wildkräuter
    • Saftpulver
    • Frucht- & Beerenpulver
    • Proteinpulver
    • Pflanzendrinks (Milch-Alternativen)
    • Grüne Pulver & Pflanzenstoffe
    • Brotbackmischungen & Mehle
    • Öle & Bratfette
    • Kakao & Kakaoprodukte
    • Zuckerersatz
    • Salz & Gewürze
    • Algen
    • Knochen-, Fleisch- & Gemüsebrühen
    • Gekeimte Samen & Saaten
    • Porridge
    • Ballaststoffe
    • Pasta
  • Naturkosmetik
    • Alle Naturkosmetik-Produkte
    • Mund- & Zahnpflege
    • CBD-Öle (Cannabidiole)
    • Deos
    • Seifen
    • Cremes
  • Anwendungen
    • Abnehmen & Gewichtskontrolle
    • Allergien
    • Anti-Aging
    • Atemwege
    • Augen
    • Bewegung & Sport
    • Bindegewebe
    • Blase & Niere
    • Chronische Entzündungen
    • Darm & Verdauung
    • Entschlackung & Entsäuerung
    • Frauen
    • Gehirn & kognitive Leistungsfähigkeit
    • Haut, Haare & Nägel
    • Herz & Gefäße
    • Immunsystem & Abwehrkräfte
    • Kinder
    • Kinderwunsch
    • Knochen, Gelenke & Sehnen
    • Leber & Galle
    • Männer
    • Mund-, Zahnpflege & Zahngesundheit
    • Schilddrüse
    • Schlaf & Entspannung
    • Schwangerschaft & Stillzeit
    • Senioren
    • Stoffwechsel
    • Stress, Nerven & Psyche
    • Unverträglichkeiten
    • Vegetarier & Veganer
    • Vitalität & Energie
    • Wellness & Wohlbefinden
    • Alle Lebenskraftpur Produkte
  • Ratgeber
    • Alle Artikel
    • Ernährung
    • Gesunde Rezepte
    • Hausmittel
    • Krankheiten
    • Lebenskraftpur klärt auf
    • Mikronährstoffe
    • Naturkosmetik
    • Pflanzenstoffe
    • Sport
    • Zahnpflege
    • Lexikon
    • Produktratgeber
Einloggen Warenkorb Shop Zum Shop...
Ihr Warenkorb
Noch bis zum kostenlosen Versand
Ihr Warenkorb
Ihr Warenkorb ist leer

Wird geladen ...

Zwischensumme

0,00 €

Versandkosten

4,90 €

Gesamt

4,90 €

Translation missing: de.general.payment-bar.method
  • PayPal
  • Klarna
  • Visa
  • Mastercard

Ratgeber - Krankheiten

Ratgeber Krankheiten
Krankheiten
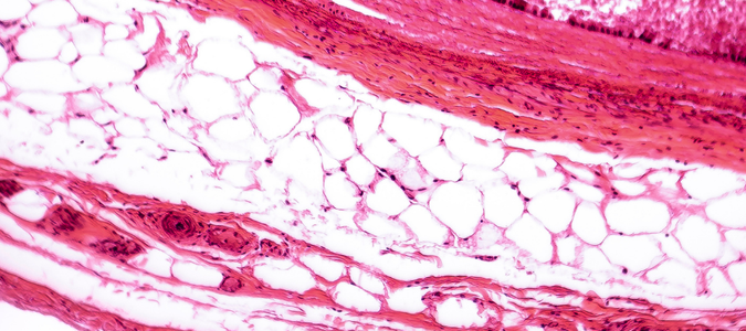
Bindegewebe: Funktionen und Versorgung
zuletzt aktualisiert: 28.11.2025
Lesedauer: 12 Min
von der Lebenskraftpur Redaktion
Bindegewebe: Funktionen und Versorgung
Jeder Mensch wird im Alter – je nach Veranlagung früher oder später – mit den Folgen von schwächer werdendem Bindegewebe... weiterlesen
Krankheiten
Kognitive Fähigkeiten – Die geistige Leistungsfähigkeit unterstützen und im Alter erhalten
zuletzt aktualisiert: 28.11.2025
Lesedauer: 12 Min
von der Lebenskraftpur Redaktion
Kognitive Fähigkeiten: Die geistige Leistungsfähigkeit unterstützen und im Alter erhalten
Mentale Gesundheit, Achtsamkeit sowie eine gute kognitive Leistungsfähigkeit werden in der modernen Gesellschaft immer mehr gefordert. Alltägliche Stressoren können den... weiterlesen
Krankheiten
Dieses Mittel bei chronischen Entzündungen
zuletzt aktualisiert: 28.11.2024
Lesedauer: 5 Min
von der Lebenskraftpur Redaktion
Dieses Mittel bei chronischen Entzündungen
Wir zeigen Ihnen, wie Sie mit diesem alten naturheilkundlichen Mittel Ihre chronischen Entzündungen im Zaum halten können. weiterlesen
  • 1
  • …
  • 6
  • 7
  • 8
Translation missing: de.general.payment-bar.method
  • PayPal
  • Klarna
  • Visa
  • Mastercard
  • Kostenfreier Versand ab 60 € (DE)
  • Versand in die Schweiz: bereits versteuert & verzollt
  • Lieferung auch innerhalb Europas
  • Klimaneutraler Versand mit DHL GoGreen

Nie wieder Aktionen verpassen.

  • Nahrungsergänzungsmittel
  • Superfood
  • Naturkosmetik
  • Anwendungen
  • Produktratgeber
  • Newsletter
  • Meldebogen Produkterfahrungen
  • Webinare
  • Mein Konto
  • Versand
  • Zahlung
  • Kontakt
  • Impressum
  • AGB
  • Widerruf
  • Datenschutz
  • FAQ
  • Barrierefreiheit
  • Affiliate werden
  • Händler werden
  • Unternehmen
  • Karriere
  • Presse

Montag-Freitag: 08:30-17:00 Uhr

Telefon: +49 7254 782 0900

Fax: +49 7254 782 0901

Mobil: +49 176 4588 1199

WhatsApp: +49 176 4588 1199
kundenservice@lebenskraftpur.de

Ein Großteil unserer Produkte ist Bio-zertifiziert. Unser Anspruch ist Bio oder besser.

Lebenskraftpur ist HACCP-zertifiziert

Lebenskraftpur ist GMP-zertifiziert

© 2026, Lebenskraftpur GmbH. Alle Rechte vorbehalten.
  • Wenn Sie sich für eine Auswahl entscheiden, wird die Seite komplett aktualisiert.
  • Wird in einem neuen Fenster geöffnet.